Signature Smiles
Dr. Archie Cook, Jr

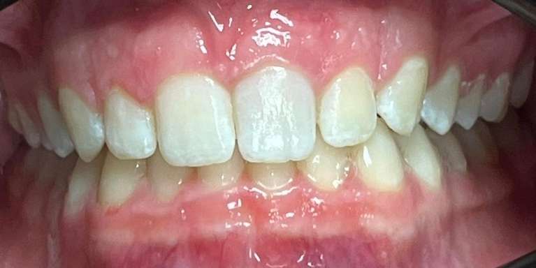
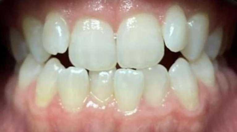
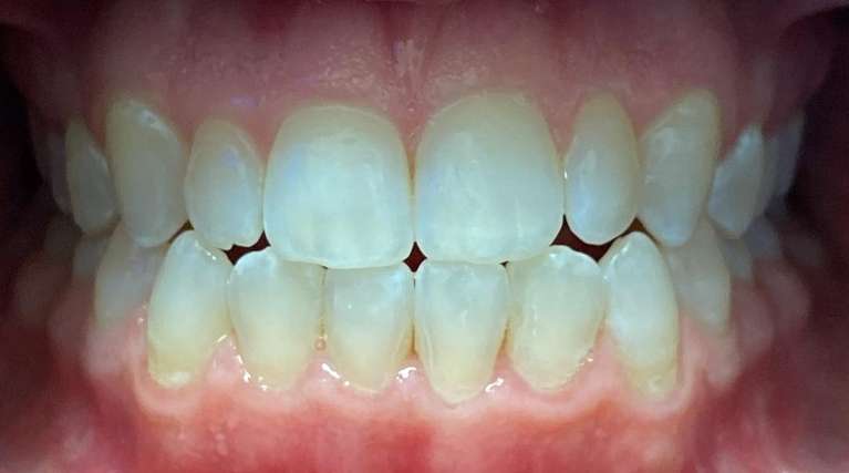
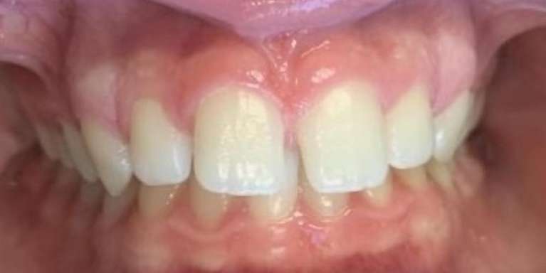
Smile Gallery: Invisalign®

Welcome to our smile gallery! We invite you to review real results from actual patients. These transformations reflect the care, skill, and personal attention we bring to every smile. 

Curious About What’s Possible for You?

We’d love to help you achieve a healthier, more confident smile. Call today to schedule a consultation with Dr. Cook. 

Ready to Book an Appointment?
Smile Gallery Categories
Why Our Patients Choose Us

If you have difficulty using our website, please email us or call us at (919) 803-0168
View the ADA Accessibility Statement