Your Trusted Dentist in Cary NC | Signature Smiles

Veteran-Owned, Relationship-Focused Dentistry That Feels Like Home

At Signature Smiles, We believe exceptional dentistry starts with genuine relationships. Founded in 2016 by U.S. Air Force veteran Dr. Archie Cook, Jr., our dental office in Cary, NC, has grown from a dream into a thriving community built on trust, kindness, and genuine connection. 

We are a full-service dental office, and we welcome patients of all ages with a warm smile and a personalized approach. To better serve our community, we have Spanish-speaking staff available to make your experience as smooth and welcoming as possible.

Comprehensive Dental Care in Cary, NC

At Signature Smiles, we provide a full range of dental services in Cary, NC to help patients maintain, restore, and enhance their smiles. Whether you’re visiting for preventive care or advanced treatment, our team delivers personalized care in one convenient location.

General & Preventive Dentistry – Routine exams, cleanings, and preventive care to keep your smile healthy long-term.

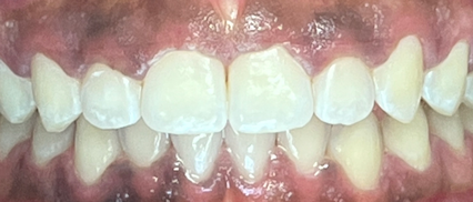
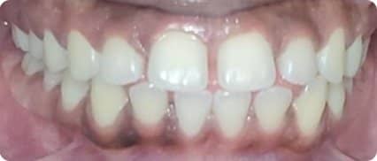
Cosmetic Dentistry – Enhance your smile with treatments such as teeth whitening, porcelain veneers, and smile makeovers.

Dental Implants – Replace missing teeth with long-lasting dental implants that restore both function and appearance.

Invisalign Clear Aligners – Straighten your teeth comfortably and discreetly without traditional braces.

Sedation Dentistry – Feel relaxed and comfortable during treatment with options including nitrous oxide, oral sedation, and in-office anesthesia.

Sleep Apnea Treatment – Improve your quality of sleep and overall health with custom oral appliance therapy.

Emergency Dentistry – Same-day care available for urgent dental issues and unexpected pain.

The Signature Smiles Touch

Each time you visit us, you’ll be greeted by our warm and caring team, many of whom have been with us for years. We take the time to get to know you, including your dental goals, concerns, and even your favorite comfort amenities, such as weighted blankets, heated and cooled neck wraps, noise-canceling headphones, and lip scrub and moisturizer. 

Nervous about treatment? We offer nitrous oxide, oral sedation, and even in-office general anesthesia with a licensed anaesthesiologist to help you feel completely at ease.

We also understand how busy life can be, which is why we offer flexible scheduling, including same-day emergency visits, and always take the time to answer your questions without pressure. You’ll never feel rushed or like “just another patient.” So come on in, relax, and let us take care of your smile. You’ll feel the difference, and we think you’ll love it here!

Our New Location on Kildaire Farm Road

We’ve outgrown our original space thanks to the amazing support of our patients. In Summer 2025, Signature Smiles moved into a brand-new, state-of-the-art facility. This exciting upgrade will expand our capacity from seven to 14 operatories, enabling us to better serve our growing community. This also means increased availability, improved support for emergency visits, and a continued focus on one-on-one, patient-first care.

Get Started with Our Award-Winning Local Dentist

Are you looking for a dentist in Cary, NC, who will take the time to get to know you? Then, you’ll feel right at home at Signature Smiles!

Thanks to the support of our fantastic community, Signature Smiles has been voted “Best Dental Practice” in Wake County as a finalist or winner for six consecutive years, from 2019 through 2024. It’s a tremendous honor, and we’re grateful to every patient who has helped us grow along the way. You can see what patients say by visiting our Testimonials page.

Whether you’re looking to maintain a healthy smile or improve its appearance, we offer personalized care to match your goals. Our general dentistry services support long-term oral health, while cosmetic dentistry options help enhance your smile’s appearance and function. For missing teeth or advanced needs, dental implants provide a durable, natural-looking solution.

Please call us at 919-803-0168 or contact us online to schedule an appointment. We look forward to welcoming you to our dental office in Cary, NC.